Addison's Disease : Image Result For Addison's Disease | Addisons Disease, Addison's Disease, Disease Infographic

Tripadvisor Has 3,266,834 Reviews Of Barcelona Hotels, Attractions, And Restaurants Making It Your Best Barcelona Resource.

Addison's Disease. Treatment is with replacement hormone tablets. Addison's disease, also known as chronic adrenal insufficiency, or hypocortisolism, is a rare endocrine and hormonal disorder. The adrenal glands are 2 small glands that sit on top of the kidneys. Nord gratefully acknowledges maria i. Addison's disease is a condition in which your adrenal glands are not working as well as they should. It occurs when abnormally low quantities of all the adrenal steroid hormones are produced by the adrenal gland. Addison's disease, also known as primary adrenal insufficiency or hypoadrenalism, is a rare disorder of the adrenal glands. Addison's disease, also called adrenal insufficiency, is an uncommon disorder that occurs when your body doesn't produce enough of certain hormones. Addison's disease occurs when the adrenal cortex is damaged, and the adrenal glands do not produce enough cortisol and aldosterone. Addison's disease is another name for primary chronic adrenal insufficiency. Cortisol regulates the body's reaction to stressful situations. Causes, diagnosis, and treatment information is. Read about addison's disease, a hormonal disorder with symptoms of weight loss, muscle weakness, fatigue, low blood pressure, and skin color changes. Addison's disease is also called primary adrenal insufficiency. a related disorder, secondary adrenal insufficiency, occurs when the pituitary, a small gland at the base of the brain. In addison's disease, your adrenal glands.

Addison's Disease - Demystifying Adrenal Fatigue, Part 2: Testing Adrenal Glandular Function

Adrenal Insufficiency - Addison's Disease - Dream Health. Causes, diagnosis, and treatment information is. Cortisol regulates the body's reaction to stressful situations. Addison's disease is another name for primary chronic adrenal insufficiency. Addison's disease, also called adrenal insufficiency, is an uncommon disorder that occurs when your body doesn't produce enough of certain hormones. Treatment is with replacement hormone tablets. Addison's disease is also called primary adrenal insufficiency. a related disorder, secondary adrenal insufficiency, occurs when the pituitary, a small gland at the base of the brain. Addison's disease, also known as primary adrenal insufficiency or hypoadrenalism, is a rare disorder of the adrenal glands. Addison's disease, also known as chronic adrenal insufficiency, or hypocortisolism, is a rare endocrine and hormonal disorder. In addison's disease, your adrenal glands. Addison's disease occurs when the adrenal cortex is damaged, and the adrenal glands do not produce enough cortisol and aldosterone. Read about addison's disease, a hormonal disorder with symptoms of weight loss, muscle weakness, fatigue, low blood pressure, and skin color changes. Nord gratefully acknowledges maria i. Addison's disease is a condition in which your adrenal glands are not working as well as they should. It occurs when abnormally low quantities of all the adrenal steroid hormones are produced by the adrenal gland. The adrenal glands are 2 small glands that sit on top of the kidneys.

Addison disease
Addison disease from 3.bp.blogspot.com
In other words, they overlap with symptoms of other conditions. Learn about its symptoms and treatments. With the right balance of daily medication. The adrenal glands are 2 small glands that sit on top of the kidneys. Addison's disease is a condition in which your adrenal glands are not working as well as they should. Read about addison's disease, a hormonal disorder with symptoms of weight loss, muscle weakness, fatigue, low blood pressure, and skin color changes. Addison disease was first described by thomas addison in 1855.

Addison disease was first described by thomas addison in 1855.

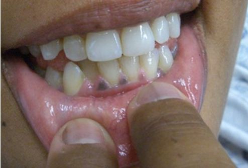
Addison's disease is a rare, chronic condition brought about by the failure of the adrenal glands. Lifelong, continuous treatment with steroid replacement therapy is required. The adrenal glands are 2 small glands that sit on top of the kidneys. It affects glucocorticoid and mineralocorticoid function. Addison disease was first described by thomas addison in 1855. Addison's disease is a rare, chronic condition brought about by the failure of the adrenal glands. Causes, diagnosis, and treatment information is. Possible causes, signs and symptoms, standard treatment options and means of care and support. Care guide for addison disease. The symptoms of addison's disease, also known as primary adrenal insufficiency, are often nonspecific. Nord gratefully acknowledges maria i. Addison's disease is caused by damage to the adrenal glands, which make hormones to control multiple metabolic processes in the body, and balance body salt and water. This results in decreased production of two important chemicals (hormones). Just above each of your kidneys is a small. The outer layer of the adrenal glands is called the adrenal cortex. If the cortex is damaged, it may not be able to produce enough cortisol. One way the body keeps itself in balance is by using chemical messengers called hormones to regulate various functions. Addison's disease is also called primary adrenal insufficiency. a related disorder, secondary adrenal insufficiency, occurs when the pituitary, a small gland at the base of the brain. It occurs when abnormally low quantities of all the adrenal steroid hormones are produced by the adrenal gland. In addison's disease, your adrenal glands. Addison's disease (also known as primary adrenal insufficiency or hypoadrenalism) is a rare disorder of the adrenal glands. Learn about its symptoms and treatments. This damage may be caused by the following Cortisol regulates the body's reaction to stressful situations. Addison disease, the traditional term for primary adrenal insufficiency, is an uncommon disorder that occurs in the united states, addison's disease's frequency is 40 to 60 cases per million population. Addison's disease is another name for primary chronic adrenal insufficiency. Addison's disease is a disorder involving disrupted functioning of the part of the adrenal gland called the cortex. Addison disease (or addison's disease) is adrenocortical insufficiency due to the destruction or dysfunction of the entire adrenal cortex. In other words, they overlap with symptoms of other conditions. Addison disease, or primary adrenal insufficiency, is diagnosed after confirming an elevated acth level and an inability to stimulate cortisol levels with a cosyntropin stimulation test. Addison's disease, also known as chronic adrenal insufficiency, or hypocortisolism, is a rare endocrine and hormonal disorder.

Addison's Disease - Nord Gratefully Acknowledges Maria I.

Addison's Disease : Addison Disease And Its Cure! - Medstoreland Blog

Addison's Disease : The Hello Doctor Medical Blog

Addison's Disease - Addison's Disease Is Another Name For Primary Chronic Adrenal Insufficiency.

Addison's Disease - Assessment | Biopsychology | Comparative | Cognitive | Developmental | Language | Individual Differences | Personality | Philosophy | Social | Methods | Statistics | Clinical | Educational | Industrial | Professional Items | World Psychology |.

Addison's Disease - Causes, Diagnosis, And Treatment Information Is.

Addison's Disease . It Affects Glucocorticoid And Mineralocorticoid Function.

Addison's Disease - Addison Disease Was First Described By Thomas Addison In 1855.

Addison's Disease . Addison Disease Was First Described By Thomas Addison In 1855.

Addison's Disease - It Affects Glucocorticoid And Mineralocorticoid Function.